What if the cure for cancer was hiding in plain sight? A Texas doctor found that combining DMSO with a common dye melts tumors without harming healthy cells. No chemo. No radiation. Virtually no toxicity. And almost no one knows it exists. 🧵 THREAD https://www.midwesterndoctor.c...
📌 Before we dive in, do yourself a favor and bookmark this thread. The media won’t whisper a word about a cancer “cure” until it’s an ultra-profitable breakthrough. Here’s how you can help someone you love right now—and do it for next to nothing. https://www.midwesterndoctor.c...
Part two of this powerful DMSO and cancer series is here—and @MidwesternDoc just dropped the most jaw-dropping revelation yet. If you missed part one, catch up here. http://x.com/VigilantFox/statu...
DMSO (or dimethyl sulfoxide) is a naturally occurring substance with proven effectiveness. Not only can it transport medications deep into the body—even across the blood-brain barrier—it has healing properties of its own. One of its most incredible features is that when DMSO is combined with a dye called hematoxylin, it becomes a selective cancer killer. It appears to actually be safe and effective. Which is probably why the FDA banned it. More on that later…
For nearly a year, @MidwesternDoc has worked hard to bring public attention back to DMSO. While this thread will focus on how DMSO can treat cancer, it has also been shown to effectively treat: • Strokes, neurological disorders, and circulatory disorders • Tissue injuries like sprains and concussions • Chronic pain •A wide range of autoimmune disorders • Conditions like tinnitus, vision loss, and dental problems • Internal organ diseases like liver cirrhosis, endometriosis, and pancreatitis • Skin conditions like burns, acne, hair loss, and ulcers • And infectious conditions like herpes and shingles It might sound unbelievable—but a 60 Minutes investigation from 1980 backs it up. Yes, mainstream media once covered this. Before it was all buried.
@MidwesternDoc @MidwesternDoc just dropped a new deep dive into DMSO—the forgotten cancer cure the FDA tried to erase. You can read the full report here. http://midwesterndoctor.com/p/...
When DMSO is combined with hematoxylin, it’s called D-hematoxylin. And D-hematoxylin does some important things that chemo doesn’t: • Kills cancer cells • Spares healthy tissue • Reverses anemia in leukemia • Protects organs • Has virtually no toxicity And yes—it’s actually real.
D-hematoxylin’s story began back in the 1960s with Eli Jordon Tucker, Jr., M.D., an award-winning orthopedic surgeon based in Texas. Even before his work with DMSO, Tucker had discoveries under his belt, including how to graft bones from one species to another. Clearly a smart guy. Because of his work with bone grafting, Tucker owned some cattle. And he noticed that many of the cows being butchered had large tumors covering their faces. Tucker couldn’t just ignore this observation.
So, he began experimenting. As part of his experiments, Tucker injected blood from the cattle into lab rats and mice with cancer, but he needed something more to actually be able to see what was happening to the tumors. Here’s where the dye, hematoxylin, comes in. While it is normally used to stain tissue for microscope slides, he used it to differentiate between cancer cells and normal cells. Unfortunately for Tucker, the dye has poor solubility, which limited his ability to use it the way he wanted. Then DMSO, a powerful solvent, appeared in 1963—just what Tucker needed. And what he found absolutely stunned him.
By dissolving hematoxylin in DMSO, Tucker created a formula—D-hematoxylin— that not only stained the cancer cells, but it zeroed in on them and destroyed the tumors from the inside out—all while leaving healthy tissue untouched. The results were nothing short of miraculous. And Tucker didn’t just get lucky. This effect was repeatable.
Tucker soon treated dozens of patients. Some of the most striking stories include: • A comatose woman with inoperable fibrosarcoma—fully recovered • A dog suffocating from tumors—cancer-free in 2 weeks • A young boy with terminal leukemia—alive and healthy 29 years later And many more.
@MidwesternDoc For a deeper dive into Tucker’s most astonishing patient recoveries, check out @MidwesternDoc’s powerful new article, which describes DMSO as the forgotten cancer cure. http://midwesterndoctor.com/p/...
And here’s where the story makes a sharp turn. The FDA stepped in. Tucker appeared to have discovered truly safe and effective cancer treatment. Or at least something worth studying. So what did the FDA do? They threatened him. Tucker was soon silenced and expelled from hospitals for using an “unapproved” therapy. Even though it worked.
And then in 1978, Tucker had a chance to present his findings to a group of New York City doctors, one of whom was from the FDA. To really drive the message home, Trucker brought with him Joe Floyd, an Exxon Oil Corporate Executive whom Tucker had previously cured. Tucker went through his case histories, one by one, and came to a patient with advanced metastatic colon cancer and a poor prognosis—Joe Floyd. Dr. Pani from the FDA sarcastically asked, “How long did this one last, three months?” “He’s sitting down in the lobby,” Tucker replied. Dr. Pani then met the cancer-free patient they had assumed was dead. And still, nothing happened.
@MidwesternDoc DMSO, not just the cancer-fighting formulation of D-hematoxylin, is making a comeback in a big and necessary way. @MidwesternDoc has received more than 2,000 stories from readers who have had success using it for all kinds of ailments. https://www.midwesterndoctor.c...
For 50 years, Tucker’s incredible discovery was nearly forgotten—until a Canadian inventor named Jim McCann revived it. Starting with a prostate cancer patient on the verge of death in 1985, McCann managed to use D-hematoxylin to treat approximately five people in Canada. After receiving significant pushback for practicing without a license, even amongst the alternative medical community, McCann moved to Ecuador. Doctors have now quietly been curing cancer there ever since.
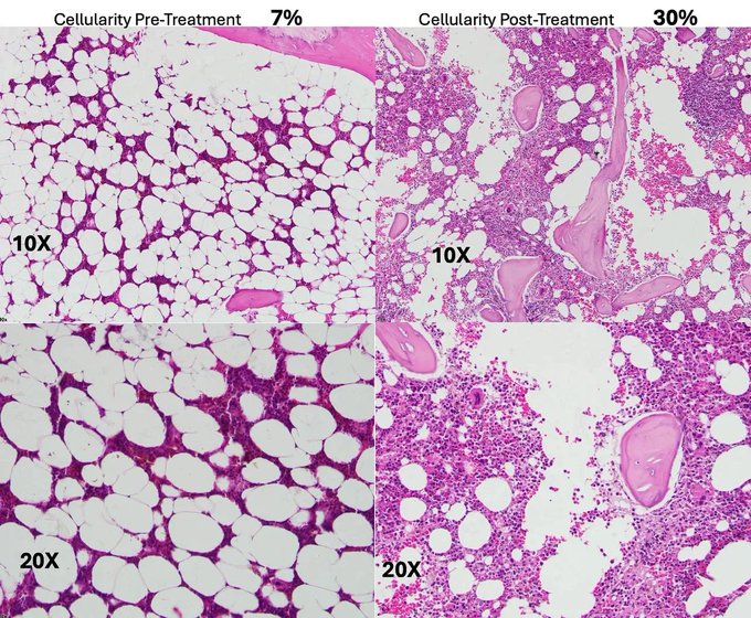
A team in Ecuador has now treated 85 patients with D-hematoxylin, many with advanced or “untreatable” cancers. Recently, they have achieved an incredible cure rate of 80-90% in patients who had not received chemotherapy previously. No chemo. No radiation. Just DMSO, hematoxylin, EDTA, and vitamin C.
The most responsive cancers include: • Leukemias • Sarcomas • Leiomyosarcoma • Bile duct cancer • Non-Hodgkin lymphoma • Ovarian carcinoma • Mediastinal tumors • Bladder cancer • Cancers with a giant cell tumor phenotype Even rare tumors wrapped around major arteries were completely resolved. One patient’s bone marrow biopsy after D-hematoxylin showed the cancer cells were gone—and healthy blood production resumed, even with no transfusions. Doctors have also noticed that anemia reversed faster than with iron therapy. And remember… the FDA isn’t interested.
And because we believe in sharing the full picture, there are the cancers that have shown a poorer response to D-hematoxylin: • “Solid” tumors • Lung Cancer • Colon Cancer • Gastric Cancer • Melanoma • Bone Metastases • Brain Cancer (requires longer treatment) It isn’t a silver bullet—but it seems to be the best thing we’ve got. And who knows… Maybe if research were actually allowed and well-funded, we would have more strategies for the cancers listed above.
@MidwesternDoc So, how exactly does D-hematoxylin work? Well, the exact mechanism isn’t fully understood. But here’s what we do know: https://www.midwesterndoctor.c...
• It binds to DNA—but only in cancer cells • It may inhibit a cancer enzyme called CK2 • It triggers self-destruction from the tumor’s center outward • It can cause tumors to break down into non-cancerous “ghost cells” • Tumor markers plummet within 2 weeks • No resistance is developed (like with chemo) • And it never harms normal tissue But the FDA isn’t interested.
@MidwesternDoc And unlike chemo, D-hematoxylin doesn’t destroy white blood cells or platelets. In fact, it often restores them. That means: • No immune collapse • No hair loss • No debilitating weakness and sickness • No lifelong damage
Yet, despite 60 years of success stories, the FDA isn’t interested. And the American Cancer Society labeled it a “quack remedy” back in 1971. The same American Cancer Society that has invested more than $5 billion in research grants since 1946. No mention of harm. Just… silence. And now, most people have never even heard of it. They almost won.
Ask yourself: • Why would a cheap, safe, natural cancer cure be silenced? • Why would its inventor be expelled from hospitals? Money. We must always follow the money. Cancer drugs are the most profitable drugs for Big Pharma. Oncologists make a lot of money treating cancer patients.
Thankfully, the tide is turning. People are finally waking up to the scam of Big Pharma and Big Medicine. Brave doctors in Ecuador are refining the therapy, saving lives, and documenting every case. D-hematoxylin won’t cure everyone—but nothing will. For millions of people around the world, D-hematoxylin is an answer to prayer. They just don’t know it exists... Yet.
@MidwesternDoc Let’s pull this remarkable therapy out of the shadows because people battling cancer need it now more than ever. DMSO and D-hematoxylin should be household names. Check out @midwesterndoc’s article for a deep dive into this very exciting info. https://www.midwesterndoctor.c...
@MidwesternDoc If this thread stopped you in your tracks, share it. Someone you know might be running out of options. Cancer doesn’t have to be a death sentence. And the truth should never be buried. https://x.com/VigilantFox/stat...
@MidwesternDoc Thanks for reading! This information was based on a report originally published by @MidwesternDoc. Key details were streamlined and editorialized for clarity and impact. Read the original report here. https://www.midwesterndoctor.c...
@MidwesternDoc For a deeper dive into what modern medicine has overlooked—or intentionally buried—check out these other eye-opening reports by A Midwestern Doctor: https://www.midwesterndoctor.c...
@MidwesternDoc Where Are the Former FDA Commissioners Now? https://www.midwesterndoctor.c...
@MidwesternDoc What’s The Healthiest Water To Drink? https://www.midwesterndoctor.c...

















